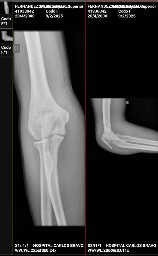
En las últimas horas, se confirmó la dura lesión que sufrió ayer el defensor de Villa Cubas, Enzo Fernández, durante el partido ante Tapso FC en el Torneo Provincial. A medida que avanzaba el partido, Fernández se retiró lesionado en el último tercio del encuentro, con una lesión en su codo derecho.
Ahora, se ha confirmado que Fernández sufrió una fractura del cubito y radio del antebrazo derecho, lo que requiere una intervención quirúrgica urgente y la instalación de una prótesis. Esta lesión lo mantendrá alejado de la cancha por varios meses.



Este golpe es especialmente difícil para Fernández, quien ya había pasado por un momento difícil el año pasado con la pérdida de su madre. Sin embargo, con el apoyo de su equipo, familiares y amigos, es probable que pueda superar este obstáculo y regresar a la cancha con más fuerza que nunca.
¡Fuerza, Magito! Todos estamos con vos.
